、 氟斑牙又称斑釉牙,与摄入的氟含量过高有关的一种牙齿疾病,一般表现为牙齿出现着色的斑块或牙齿出现缺损。同时氟斑牙也是地区性慢性氟中毒的一种突出症状,在世界各国均有出现氟斑牙的报告。
氟斑牙的临床表现:
1、轻度氟斑牙(白垩型):牙齿表面有白垩色条纹或不规则散布的小面积不透明区着色,但整个面积不超过牙面的1/2。

2、中度氟斑牙(着色型):牙齿形态无变化,但牙齿存在广泛着色,其牙齿颜色变黄或黑褐色。

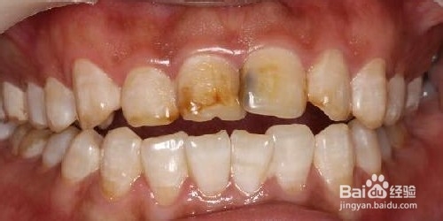
3、重度氟斑牙(缺损型):牙齿除了广泛着色外,牙齿有缺损、变形现象,其牙齿颜色为棕色或灰黑色。

氟斑牙的危害有哪些:
1、对美观的影响:因为氟斑牙使得牙齿蛮得不再光滑洁白,从而对个人的整体美观造成一定的影响。
2、对牙齿的影响:很多氟斑牙患者的牙齿对摩擦的耐受性比正常牙齿的耐受性差,牙齿的脆性比较大,但对酸蚀的抵抗力强。
3、对心理的影响:因为氟斑牙会导致牙齿不美观,而不美观的外表往往降低人的自信心,甚至产生自卑心理。
如何预防氟斑牙:
1、慎用含氟牙膏:使用含氟牙膏虽能有效防治龋齿,但同时具有副作用,如果使用不当,也容易导致氟牙症的形成。
2、尽量不要喝含氟的水:喝含氟水是引起氟斑牙的重要原因之一,因此我们应减少含氟水的摄入,可以有限的避免氟斑牙的形成。
3、做到早发现早治疗:因为氟斑牙对牙齿的伤害是不可逆的,所以当出现氟斑牙是应该及早的进行治疗,防止氟斑牙的加重。